COSMETIC DENTISTRY
Our cosmetic dental specialists
Our Cosmetic Dental Services

Tooth whitening lightens your tooth/teeth and removes the discolouration and stains usually caused by beverages and cigarettes. Whitening is one of the most common treatments in cosmetic dentistry because it significantly improves the appearance of your teeth and smile. Our cosmetic dentists perform the tooth whitening procedures at Little pearls dental care!

Porcelain veneers are very thin dental laminates used to create the natural appearance of your teeth. They also provide strength and aesthetics closely resembling the enamel of your teeth. Porcelain is the material of choice for those expecting a smile makeover, or to change your teeth shape, size & color.

The color, alignment and appearance of your teeth with respect to the aesthetics of your smile. Your smile line is that line that extends from the tips of your upper teeth from one corner to the other, there are several factors of your teeth and smile line that our cosmetic dentists will ascess while planning your smile makeover.

Bonding is a procedure done with teeth coloured composites to restore decay, broken, fractured or stained teeth. The advantage of bonding is that it can be done in just one single visit. This treatment is called dental bonding because the material bonds to your teeth without any fuss.

Teeth bleaching involves the restoration of the original teeth shade. It is achieved by removing the stains and debris usually caused by beverages such as tea, coffee, wine and smoking cigarettes. The accumulation of calculus and debris can cause the discolouration of your teeth. The procedure involves the restoration of the original teeth colour by using agents such as hydrogen peroxide and bleaching trays by our cosmetic dentists at Little pearls dental clinics!

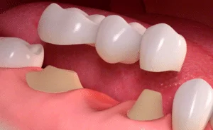
Dental bridges are common due to their affordability, durability, and a quick replacement for missing teeth. A dental bridge gets its name because it bridges the space created when your teeth are lost. A dental bridge consists of artificial teeth, known as pontics, which are inserted in the space by dental crowns. Porcelain is commonly used to enhance the aesthetics of a bridge at Little pearls dentistry!

If your teeth are stained, discolored, chipped, fractured, malaligned, are not in shape and have spacing between them, a cosmetic dental surgery can give you the smile of your dream. Cosmetic dental surgery improves the aesthetics of your smile line wen one or more cosmetic dental procedures are performed. Our cosmetic dentists and orthodontists at Little pearls dental care work with you to and frame a customised treatment plan.

Procedures include – tooth jewellery, veneers, Invisalign to align your teeth, whitening, bleaching, dental bonding, tooth coloured fillings, zoom whitening and many other procedures at Little pearls cosmetic dentistry!

A dental crown procedure or cap placed to cover or a damaged tooth after root canal treatment thus strengthening a damaged tooth. A dental crown can be used to improve its appearance and shape. Types of dental crown at Little pearls dentistry include Ceramic crowns, Porcelain fused metal dental crowns & porcelain crowns

The colour and appearance of your tooth with respect to the appearance of your smile. Your smile is that curve that extends from the corner of your teeth from one end to the other, there are several factors of your teeth and smile line that our aesthetic dentists will take into consideration while planning your smile makeover treatment at Little pearls.

Does teeth whitening with charcoal powder by zebra teeth whitening como usar whiten your teeth? Yes in fact! Activated charcoal is its main composition. It’s a form of oxidised charcoal powder is gaining popularity due to its teeth whitening properties. It discolouration usually caused by smoking and stains caused by consuming coffee. One of the main advantages of using this product is that it contains very less harmful chemicals. Due to its natural composition it also restores the ph of your oral cavity. This can also help in preventing calculus, plaque and tooth decay.